Như chúng ta đều đã biết, niềng răng là phương pháp hiệu quả nhất giúp mang lại hàm răng đều đặn, chuẩn khớp cắn. Tuy nhiên không phải ai cũng nắm được các công đoạn, quy trình niềng răng đúng chuẩn. Công đoạn đầu tiên trong quá trình niềng răng chính là tạo khoảng trống, được áp dụng với các trường hợp răng bị hô, chen chúc nặng. Hiện nay có 4 cách để tạo khoảng trống khi niềng răng. Cụ thể mỗi cách như thế nào, chúng ta sẽ cùng đi tìm hiểu trong bài viết này nhé!
Mục lục

Tạo khoảng trống trong niềng răng là gì? Tại sao cần thực hiện?
Đối với các trường hợp bị hô, khấp khểnh,… thông thưởng tổng chiều dài của cung xương hàm sẽ nhỏ hơn tổng chiều dài khi nối các răng này lại với nhau. Vì thế các răng không có đủ chỗ để mọc trong cung hàm dẫn tới mọc chen chúc khấp khểnh hoặc chìa ra ngoài mới đủ chỗ.
Niềng răng là việc sắp xếp lại các răng mọc lệch lạc này về đúng vị trí, mọc thẳng hàng, ngay ngắn. Tuy nhiên như đã nói ở trên, cung hàm không có đủ chỗ vì vậy bác sĩ cần tạo thêm khoảng trống để sắp xếp lại răng. Bước này được gọi là tạo khoảng trống trước khi niềng răng.
Như vậy, hiểu một cách đơn giản thì việc tạo khoảng trống khi niềng răng là việc bác sĩ sẽ sử dụng các biện pháp nha khoa nhằm can thiệp giúp cung hàm rộng hơn hoặc có khoảng hở để các răng khi dịch chuyển về vị trí mới sẽ có đủ chỗ, không xảy ra tình trạng mọc chen lấn nhau nữa. Từ đó tạo khoảng cách đều đặn giữa các răng trên cung hàm.
Có 4 cách để tạo khoảng trống khi niềng răng thường được áp dụng hiện nay đó là nhổ răng, nong rộng xương hàm, mài kẽ và đẩy lùi răng số 6, số 7.
Các trường hợp nào cần tạo khoảng trống khi niềng răng?
Cụ thể các trường hợp cần tạo khoảng trống khi niềng răng đó là:
- Răng mọc chen chúc, khấp khểnh: Ở trường hợp này do khoảng cách giữa các răng tương đối dày, răng không có đủ chỗ để mọc nên dẫn tới phải chen chúc trên cung hàm. Nếu giữ nguyên như vậy và gắn mắc cài di chuyển răng thì sau một thời gian cũng sẽ không có chuyển biến gì. Do vậy để đạt được hiệu quả với các trường hợp này, việc tạo khoảng trống là điều rất cần thiết.
- Răng hô: Đây là trường hợp răng hàm trên bị nhô ra phía trước nhiều hơn so với răng hàm dưới. Để có kết quả thẩm mỹ cao nhất sau khi niềng răng, thông thường bác sĩ sẽ có chỉ định tạo khoảng trống để kéo lùi các răng hàm trên, giảm hô hiệu quả.
- Răng móm: Ngược lại với răng hô, răng móm là tình trạng răng hàm dưới bao phủ lên răng hàm trên làm cho gương mặt bị mất tính thẩm mỹ. Những trường hợp răng móm nặng, có cấu trúc phức tạp sẽ cần tạo khoảng trống để đẩy lùi khối răng trước hàm dưới nhằm khắc phục tình trạng móm.
- Răng bị sai khớp cắn: Với các trường hợp bị lệch hàm, sai khớp cắn đôi khi cũng cần tạo khoảng trống để giúp các răng di chuyển ăn khớp vào với nhau.
Việc tạo khoảng trống khi niềng răng hoàn toàn không nguy hiểm như nhiều người vẫn tưởng tượng. Tại Nha khoa Thúy Đức, với máy móc, thiết bị công nghệ hiện đại cùng với bác sĩ có tay nghề chuyên môn cao sẽ đảm bảo độ an toàn và tính hiệu quả cao nhất cho khách hàng khi niềng răng.
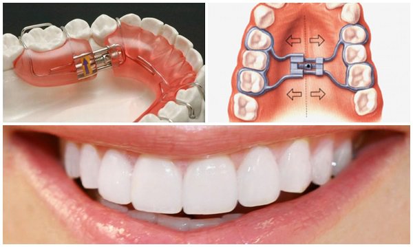
4 cách tạo khoảng trống khi niềng răng
Nong rộng xương hàm

Nong rộng xương hàm là một trong những cách để tạo khoảng trống trên cung hàm. Việc thực hiện phương pháp này còn phụ thuộc vào tình trạng phát triển cũng như thời gian tăng trưởng của xương hàm. Bởi nếu xương hàm không còn phát triển thì việc nong rộng cũng sẽ bị giới hạn.
Các trường hợp cần nong rộng xương hàm:
- Vòm hàm hẹp, lệch, méo, không có sự cân đối với cấu trúc xương
- Răng mọc chen chúc nhau
- Vòm hàm không đủ khoảng trống để răng di chuyển trong quá trình niềng răng
Phương pháp này có thể được áp dụng cho mọi đối tượng từ trẻ em tới người lớn. Tuy nhiên nó sẽ có hiệu quả nhất đối với trẻ em dưới 15 tuổi vì lúc này cấu trúc xương vẫn còn mềm và dễ dàng thay đổi so với người lớn.
Mài kẽ răng

Mài kẽ răng hay còn được gọi là cắt kẽ răng. Đây là một trong những phương pháp được áp dụng để tạo khoảng trống cho răng. Tuy nhiên không nên lạm dụng quá nhiều vì không phải răng nào cũng có thể mài được. Để thực hiện phương pháp này bác sĩ sẽ tiến hành mài 2 bên của răng để thu gọn kích thước, tạo khoảng trống để răng di chuyển. Kỹ thuật mài kẽ răng chỉ nên thực hiện từ 0.3 – 0.5mm cho mỗi răng, với số lượng từ 4 – 10 răng.
Dưới đây là các trường hợp cần mài kẽ răng trước khi niềng răng:
- Răng cửa hình tam giác: Việc mài kẽ răng sẽ giúp răng có được hình dáng chuẩn, ngăn tình trạng hở kẽ chân răng khi thực hiện niềng răng, bên cạnh đó giảm thiểu khả năng sâu răng và duy trì được độ vững chắc của khung hàm.
- Răng mọc lộn xộn nhẹ: Với trường hợp răng mọc lộn xộn nhẹ sẽ không cần phải nhổ răng để tạo khoảng trống. Bác sĩ thường sẽ chỉ định mài kẽ răng để giúp cho khớp nhai được hoàn hảo hơn.
- Kích thước răng không đồng đều: Kích thước răng to nhỏ khác nhau khiến bạn thiếu tự tin khi giao tiếp. Việc mài kẽ răng sẽ giúp thu gọn kích thước của những chiếc răng quá to, giúp răng trở nên đồng đều hơn. Điều này không chỉ nâng cao tính thẩm mỹ cho hàm răng mà còn tạo đủ khoảng trống để răng dễ dàng di chuyển hơn trong quá trình niềng.
Nhổ răng

Trong quá trình niềng răng việc bảo tồn tối đa răng thật là nguyên tắc hàng đầu mà các bác sĩ đặt ra. Tuy nhiên vẫn có những trường hợp phải chỉ định nhổ răng để đạt được hiệu quả tối đa.
Các trường hợp cần nhổ răng để tạo khoảng trống niềng răng:
- Răng mọc chen chúc, khấp khểnh nặng: Đối với trường hợp này do cung răng rộng hơn cung hàm làm cho răng không đủ chỗ để mọc: mọc chen chúc, xoay nghiêng, vào trong hay nhô lên,… bác sĩ sẽ có chỉ định nhổ răng tạo chỗ trống cho các răng có thể dịch chuyển được theo tính toán để có hàm răng đều đặn và cân xứng. Phương pháp này thường được áp dụng với những bạn đã lớn tuổi vì lúc này xương hàm không còn khả năng tăng trưởng để có thể tạo thêm đủ khoảng trống cho các răng xếp đều đặn.
- Răng mọc ngầm: Là những chiếc răng không thể mọc lên được, bị kẹt lại một phần hoặc toàn bộ bên dưới nướu hoặc xương hàm. Trong một số trường hợp trước khi tiến hành chỉnh nha, bác sĩ sẽ có chỉ định cho nhổ vì chúng nằm quá xa để kéo về đúng vị trí trên cung hàm.
- Răng bị hô, móm nặng: Với trường hợp các bạn bị hô hoặc móm nặng, để có khoảng trống đẩy lùi răng sẽ bắt buộc phải nhổ răng.
Hầu hết mọi người đều lo lắng việc nhổ răng sẽ gây ảnh hưởng không tốt tới hệ thần kinh cũng như sức khỏe. Tuy nhiên trên thực tế nhổ răng không hề có ảnh hưởng gì và được thực hiện vô cùng an toàn nếu bạn lựa chọn đúng địa chỉ nha khoa. Trên thực tế bác sĩ thường có chỉ định nhổ răng số 4 hoặc số 5. Hai răng này cùng thuộc nhóm răng hàm nhỏ, chúng không có vai trò quá quan trọng trong việc ăn nhai, đồng thời có thể thay thế chức năng cho nhau. Chính vì vậy khi nhổ một trong hai chiếc răng này, răng còn lại sẽ thay thế và đảm nhiệm vai trò cho nhau. Ngoài ra việc niềng răng cũng sẽ nhanh chóng kéo các răng di chuyển lại sát nhau vì vậy việc nhổ răng tạo khoảng trống sẽ không gây quá nhiều ảnh hưởng tới cấu trúc của khuôn mặt, khả năng ăn nhai cũng như sức khỏe của người niềng răng.
Đẩy lùi răng số 6, số 7
Để đẩy lùi răng số 6 và số 7, các bác sỹ sẽ tiến hành nhổ răng số 8 (răng khôn) để đẩy 2 răng số 6, số 7 vào phía trong, tạo khoảng trống thích hợp cho các răng còn lại dịch chuyển.
Răng khôn là răng mọc trong cùng của hàm răng, chúng không có chức năng gì trong việc ăn nhai, bên cạnh đó chiếc răng này còn khó vệ sinh, dễ gây các bệnh lý răng miệng. Đa số răng khôn thường mọc lệch, mọc ngang, đâm vào răng bên cạnh gây ảnh hưởng xấu vì thế việc nhổ răng khôn là hoàn toàn cần thiết, không chỉ riêng với người niềng răng mà người bình thường cũng nên nhổ bỏ.
Có thể nói việc tạo khoảng trống khi niềng răng dù thực hiện theo cách nào thì cũng đều tốn nhiều thời gian và đòi hỏi bác sĩ phải có trình độ cao. Chính vì vậy để đảm bảo hiệu quả cao nhất các bạn hãy tìm cho mình địa chỉ phòng khám uy tín ngay từ hôm nay nhé!
Bạn có muốn cùng Nha khoa Thúy Đức bắt đầu hành trình sở hữu nụ cười mới thật rạng rỡ.
Hãy gọi đến hotline 093 186 3366 – 096 3614 566 của Thúy Đức nêu rõ tình trạng răng của bạn để các chuyên gia nha khoa Thuý Đức tư vấn cho bạn chi tiết nhất nhé!
Hoặc đặt lịch khám ngay hôm nay để nhận ưu đãi siêu lớn NHẬN LỊCH HẸN

